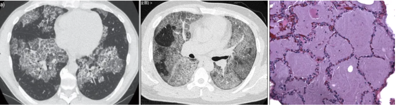
肺泡蛋白沉积症(Pulmonary alveolar proteinosis, PAP)是一种罕见,但我们在临床上又比较熟悉的呼吸系统疾病,是以肺泡腔和远端气道内积聚大量的富含磷脂蛋白样物质为特征的疾病,根据发病机制可分为肺表面活性物质清除障碍和肺表面活性物质生成障碍两大类,严重的可能导致呼吸衰竭。
2024年,欧洲呼吸学会(ERS)发布了关于肺泡蛋白沉积症临床诊断和处理的指南,该指南从疾病评估、诊断管理、治疗方案、疗效评估及未来研究方向等方面提供了系统性建议。
一、肺泡蛋白沉积症的发病机制与分类
1、表面活性物质清除障碍。分为原发性PAP和继发性PAP。
原发性PAP均与GM-CSF信号通路破坏有关,我们最熟悉的自身免疫性PAP占所有病例的90%以上,主要原因是机体产生GM-CSF抗体,导致巨噬细胞不能正常发挥吞噬功能;还有遗传性PAP,这并非由抗体引起,而是由于GM-CSF受体发生突变,无法与配体(GM-CSF)有效结合并激活巨噬细胞。
继发性PAP主要由不同原因导致的肺泡巨噬细胞功能或数量减少导致,常见原因包括血液系统疾病、慢性感染、自身免疫性疾病、环境或职业暴露等。
2、表面活性物质合成障碍,是由基因突变导致蛋白缺乏或脂质转运异常。也可能由影响肺发育或表面活性物质合成的遗传突变所致,此类型临床相对少见。
二、肺泡蛋白沉积症疾病评估
指南提出了疾病“活动程度”概念,疾病在诊断时本身处于活动期,其严重程度如何?是否有进展?
“活动”判断:一方面可观察是否出现持续或进展性的症状,如呼吸困难、咳嗽、咳痰、体重减轻等;还有功能评估,包括肺功能明显异常(FVC或DLCO)、动脉血气分析可能提示低氧血症,以及比较直观的胸部影像学检查——HRCT可见新发或较前加重的PAP特征性浸润影,同时还需排除肺内病灶是否为其他病因或并发症所致。
严重程度:指南并没有给出更新的评估方法,更多沿用既往的DSS评分,主要依据症状和血氧分压进行判断,评分越高提示病情越严重,需采取更积极的干预(详见下图)。
“进展”判断:与活动判断有相似之处,需在随访中观察基线指标的变化 ,如果患者出现症状加重、肺功能下降,甚至呼吸衰竭、影像学表现加重,以及DLCO下降和PA-aO2升高,部分患者(约20%)后期还可能出现纤维化,这些都提示疾病出现了明显进展。
三、ERS指南重点关注问题
ERS的推荐意见形成时共关注了7个问题,其中2个叙述性问题关注诊断,另外5个问题与治疗相关。
诊断相关方面:
1、对于临床和影像学特征符合疑诊PAP的患者,应在何时进行“支气管肺泡灌洗”?应在何时进行“肺活检”,明确病理诊断?
对于疑诊PAP的患者,指南推荐BAL作为诊断评估中的重要环节。(强推荐,极低级别证据),因为灌洗液相对“有特色”:乳白色、静置沉淀,无定形嗜酸性物质、泡沫状巨噬细胞,淋巴细胞升高。
BALF检测内容包括细胞计数分类、PAS染色和微生物学检测;推荐原因:侵入程度低,低风险,诊断价值高。
对于疑诊PAP的患者,指南不建议常规进行肺活检作为诊断评估中的重要环节。(有条件推荐,中等质量证据)
综 合侵入性操作的副作用,诊断获益比并没有更高,如果经过临床+影像+BALF分析仍无法诊断的,再考虑肺活检这种有创措施。多项研究都提示,对于PAP肺泡灌洗液分析具有较高的诊断价值。
2、对于临床和影像学特征符合疑诊PAP的患者,应在何时进行“GM-CSF抗体检测”以诊断自身免疫性PAP?
指南推荐对所有疑似/确诊PAP患者进行GM-CSF抗体检测,以诊断自身免疫性PAP。(强烈推荐,中等级别证据)
鉴于PAP中约90%是自身免疫性PAP,GM-CSF抗体又是诊断的重要依据,而且该检测方法具有高灵敏度、特异性和可重复性强的特点。此外,指南还强调:在进行检测时,不只应关注阴性或阳性结果,还应重点关注GM-CSF抗体滴度。
这是一个诊断流程图:
治疗相关方面:
1、患者因PAP出现临床症状和/或肺功能损害,是否需要行“全肺灌洗手术”?
指南推荐“对出现气体交换障碍且伴有临床症状或功能损伤”的aPAP患者行全肺灌洗术。(强烈推荐,证据确定性非常低)
指南纳入了10项与全肺灌洗术治疗有关的研究,6项研究发现在全肺灌洗术后症状有改善,4项研究提示65%以上的患者症状有改善,治疗后,患者的运动能力和SaO2等也会得到不同程度的改善。但同时强调,由于缺乏相关证据,无法对其他类型的PAP患者是否行全肺灌洗术治疗给出推荐或反对意见。
我从一系列文献中摘出了部分与大家分享,首先有一个调查问卷,它筛选了有近80个具有治疗肺泡蛋白沉积症的中心进行问卷调查,调查全肺灌洗技术在PAP患者中的应用现状,共27家中心完成调查问卷填写(33%),麻醉和插管方式基本为全身静脉麻醉+双腔插管(多数用左管)。在灌洗时,60%首先灌洗CT提示的病变较重一侧,30%首先灌洗左侧;在灌洗前的特殊准备方面,约50%中心灌洗前会制造吸收性肺不张(吸纯氧+阻塞气道);60%的中心选择仰卧位,40%的中心选择灌洗侧卧位;70%的中心会采用震动方法来提高灌洗效率;单侧灌洗约需要2-6小时。
灌洗相关并发症以发热、低氧血症、喘息、肺炎以及漏液等最为常见。
2、对确诊自身免疫性PAP的患者,是否应使用外源性GM-CSF(粒细胞-巨噬细胞集落刺激因子)进行治疗?
指南推荐对确诊aPAP且伴有临床症状的患者吸入GM-CSF。(强烈推荐,证据级别非常低)
推荐原因为aPAP患者吸入GM-CSF后,肺功能、临床症状和影像等方面均有获益,且治疗方式安全、无创。证据级别低主要与RCT数量有限,大多数研究为观察性、回顾性研究和病例报告有关。
1)雾化吸入与皮下注射孰优孰劣?
一些Meta分析将接受了雾化吸入治疗和皮下注射的患者进行了汇总分析,探究哪种疗效相对更好。结果发现,虽然吸入和皮下注射都有效,可以改善患者的氧合和临床症状,但整体来看,采用吸入治疗的患者较皮下注射改善率相对更高(89% vs 71%)。但具体吸入的剂量、采用何种装置,指南并没有给予详细推荐。
2)从治疗时机而言,GM-CSF雾化吸入越早越好吗?
2019年新英格兰医学杂志发表一篇日本学者研究,该研究在12个中心入选64例轻-中度PAP患者,随访25周,与安慰剂组相比,吸入GM-CSF组患者的影像表现和肺泡动脉血氧分压差有获益。
2020年还有一项研究,入选患者的严重程度与前述研究相似,它的不同点在于实验组分为两组,一组为间断吸入(吸一周停一周),另一种为持续吸入,还有一组是安慰剂对照组,结果发现,持续吸入GM-CSF能够改善aPAP患者的临床、生理学、影像学结局指标,且安全性良好。
3)GM-CSF雾化吸入与全肺灌洗是否适合联合应用?时机选择?
对此也有一些个案报道,如日本一项研究发现采用吸入GM-CSF的方案进行强化治疗、维持治疗,2年后,患者症状出现加重时接受了全肺灌洗治疗。灌洗后,当症状再次出现轻微加重时,重新开始了GM-CSF吸入治疗,结果发现灌洗后吸入治疗效果更佳。这些病例报道也给我们提示,对于重症aPAP患者全肺灌洗联合GM-CSF吸入可能是更为有效的治疗方法,当然这还有赖于更多高质量的临床研究为我们提供证据。
针对GM-CSF吸入治疗aPAP,中国专家也曾发表共识,这些意见与ERS指南相结合,让我们了解治疗过程的更多细节,增加了临床的可操作性。
中国专家共识推荐意见:
1)什么样的患者应用吸入GM-CSF?
基于疾病严重程度推荐(DSS评分)
DSS 1分 (PaO2≥70mmHg,无症状),不推荐GM-CSF雾化吸入治疗(1B);
DSS 2 分 (PaO2≥70 mmHg,有症状),建议观察3~6个月后评估,如病情无缓解或有进展,可考虑吸入GM CSF雾化吸入治疗(2B);
DSS 3 分 (PaO2≥60mmHg,<70mmHg),推荐GM-CSF雾化吸入治疗(1A);
DSS 4分 (PaO2≥50mmHg,<60mmHg),推荐GM-CSF雾化吸入治疗或WLL治疗(1A);
DSS 5分 (PaO2<50 mmHg),不推荐首选GM-CSF雾化吸入治疗,推荐WLL治疗(1D);
对于存在全身麻醉或是全肺灌洗禁忌的患者或者全肺灌洗术后评估疗效不佳,建议尝试使用GM-CSF雾化吸入治疗(2C)。
妊娠或哺乳期患者不推荐在妊娠或哺乳期使用GM CSF雾化吸入治疗(1D)
2)吸入GM-CSF的剂量和时长?
推荐剂量:300μg/d,1 次/d 或分为 2 次雾化吸入(1A)。使用方法:因连续治疗的效果优于隔周治疗,建议选择连续给药的治疗方法(2A)。
剂量调整:不建议在初始治疗时使用更高剂量的 GM-CSF 雾化吸入。在病情稳定后建议减小剂量或隔周间歇治疗(2B)
使用疗程:建议初始疗程为 6个月,后续是否继续治疗以及治疗方案调整按照患者的疗效评估及不良反应等。
疗效评估:建议治疗3个月和6个月各评估1次,可着重关注以下情况:呼吸困难等症状变化、圣乔治生活质量问卷、胸部高分辨CT等;血化验(LDH、CEA、Cyfra21 1等)、血氧(脉搏血氧饱和度、动脉血氧分压、P(A a)O2);肺功能(用力肺活量、DLCO等)、6 min步行试验。
3)用什么样的装置吸入GM-CSF?
粒细胞巨噬细胞集落刺激因子(GM-CSF)与粒细胞集落刺激因子(G-CSF)不同,GM-CSF雾化吸入前用无菌注射用水溶解药品,然后与2ml生理盐水混匀,雾化时间:通常时间是10~15min;雾化装置:推荐在家庭使用时选择电动压缩式喷射雾化器,不推荐使用超声雾化器,以免对药物分子结构形成破坏。不良反应可能包括:咳嗽、关节、肌肉及骨骼疼痛等;AST、ALT轻度增高;GM-CSF治疗后血液中抗GM-CSF抗体可能会增高。
3、对确诊自身免疫性PAP的患者,是否应使用利妥昔单抗而非免疫抑制治疗?
指南建议对确诊aPAP且经WLL或外源性GM-CSF治疗后仍存在显著症状、需依赖辅助氧疗的患者使用利妥昔单抗。(弱推荐,低级别证据)
相关证据推荐较弱,大型研究相对较少,主要是回顾性分析。推荐原因:1项干预性研究(10例),1项回顾性分析(13例),7例个案报道。每次利妥昔单抗1000mg给药,两次给药,间隔15天。改善AaDO2 ,PaO2。
4、对确诊自身免疫性PAP的患者,是否应使用血浆置换治疗?
建议对确诊aPAP且在一年内仍存在明显症状、需要氧疗或行两次以上WLL、尽管已接受外源性GM-CSF和利妥昔单抗治疗,或既往这些治疗失败的患者使用血浆置换(弱推荐,低级别证据)
5、PAP患者,经过WLL、血浆置换治疗后仍进展是否需要考虑肺移植?
对于接受WLL和/或药物治疗但病情仍进展的PAP患者,建议进行肺移植。(弱推荐,低级别证据)
但移植后患者还可能复发,下图展示的这位aPAP患者2010进行了肺移植,他已存活15年,期间也经历了复发。复发后我们给他吸入GM-CSF仍然有效,虽然患者PAP问题得到缓解。
四、总结治疗部分指南给出的推荐意见
诊断明确后,首先进行严重程度评估,主要根据临床症状,影像表现,氧合情况,肺功能,活动耐量(6MWT)等进行评估。评估后,对于轻症的、不需要干预的患者随访即可。对于有症状的、需要干预的患者,建议转诊至PAP诊疗中心,其中症状相对较轻的,可以结合中国专家共识的意见选择吸入GM-CSF治疗,对于较重或者吸入后仍然没有很好控制的患者,可以进行全肺灌洗。如果尝试了这两种方法仍效果不佳,我们将其归为难治性PAP患者,可以考虑使用利妥昔单抗、血浆置换、肺移植。
五、未来关注的重点
BALF或血清生物标志物(判断疾病进展、治疗效果及预后);核心结局指标集的定义(覆盖患者-临床-政策的多维度特性);PAP评估(疾病严重程度的标准、纤维化性PAP的诊断标准);WLL流程优化/比较(适应证/WLL技术创新/并发症管理等);优化GM-SCF治疗(用药方式,联合用药,儿童人群的用药);其他治疗方法进一步评估(利妥昔单抗、血浆置换、肺移植)。
参考文献
[1] Eur Respir J. 2024 Nov 14;64(5):2400725.
[2] Am J Respir Crit Care Med 2002;166:215-235.
[3] Respir Med 2011; 105: 1908–1916.
[4] Respir Investig 2021; 59: 757–765.
[5] Am J Respir Crit Care Med. 2008 Apr 1;177(7):752-62.
[6] Chest 2009; 136:1678–1681
[7] Orphanet Journal of Rare Diseases (2016) 11:115.
[8] Respirology (2013) 18, 82–91
[9] N Engl J Med 2019;381:923-32.
[10] N Engl J Med. 2020 Oct 22;383(17):1635-1644.
[11] Orphanet Journal of Rare Diseases (2020) 15:17.
[12] Ann Am Thorac Soc. 2017 Aug;14(8):1298-1304.
[13] 中华结核和呼吸杂志, 2022 ,45( 9 ):865-871.
[14] Eur Respir J. 2011 December ; 38(6):1361-7.
专家介绍
任雁宏
中日友好医院呼吸与危重症科副主任医师,博士;中华医学会呼吸病学分会间质性肺疾病学组秘书;中国医师协会呼吸医师分会间质病学组委员;作为负责人和主要参与人员承担国家自然科学基金项目2项,国家973科技计划课题1项;2010年入选北京市科技新星计划;作为主要成员获得国家科技进步奖二等奖1项;参与编写《呼吸治疗》《呼吸重症监护治疗病房医生工作手册》;在N Engl J Med、Anathesesia、Respiration、Thorac Cancer等杂志发表多篇研究论文;主要专业方向为间质性肺疾病、肺部及胸膜肿瘤。
本文由《呼吸界》编辑 Jerry 整理,感谢任雁宏医生的审阅修改!
* 文章仅供医疗卫生相关从业者阅读参考
本文完
责编:Jerry
