一、病史简介
男性,65岁,上海人,2025-12-29入住中山医院感染病科。
主诉:咳嗽咳痰伴胸痛近1月,发热6天
现病史:
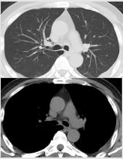
2025-12-01 受凉后出现咳嗽咳白痰,伴流涕,无发热寒战、胸闷气急、腹痛腹泻等,未重视未诊治。症状逐渐增加,并出现活动后气急,2025-12-07晨出现心前区疼痛,呼吸及咳嗽时疼痛明显,痰中带血丝,当地急诊测指尖氧饱和度(不吸氧)95%;查WBC 15.12×10^9/L,N 81.2%;CRP 62.6mg/L,PCT 0.1ng/mL;D-二聚体 0.53mg/L,cTnT 0.008ng/mL。心电图:窦性心动过速。胸部平扫CT: 左下肺渗出实变,左下肺结片影,炎性灶可能大;双侧少量胸腔积液,肺气肿。予左氧氟沙星0.5g qd抗感染,好转不明显。
2025-12-08 入住某三甲医院急诊科,查WBC 12.36×10^9/L,N 81.6%;降钙素原:31.9ng/mL,CRP 203.5mg/L;胸部增强CT: 两下肺渗出、部分不张(左下肺为著),较前25-12-07片进展,左侧胸腔积液(部分包裹),较前增多。2025-12-09 超声引导下行胸腔穿刺置管引流,引出黄色浑浊液体。胸水常规:红细胞 5200/mm3,白细胞 14223/mm3,多个核细胞 87%,单个核细胞 11%,嗜酸性粒细胞 2%;胸水涂片找细菌、真菌、抗酸杆菌阴性,细菌培养阴性。予左氧氟沙星0.5g qd(12-08至12-11)抗感染,胸痛、咳嗽咳痰好转。
2025-12-14 床旁超声见胸水量少,予拔出胸腔引流管。复查WBC 6.53×10^9/L,N 70.9%;CRP 110.5mg/L,PCT 0.64ng/mL;较前下降。胸部平扫CT:两下肺渗出、部分不张(左下肺为著),较前2025-12-08片稍好转,左侧胸腔积液(部分包裹)较前稍减少,其内新增少量积气,改莫西沙星0.4g qd静脉滴注。12-16予莫西沙星0.4g qd口服出院。
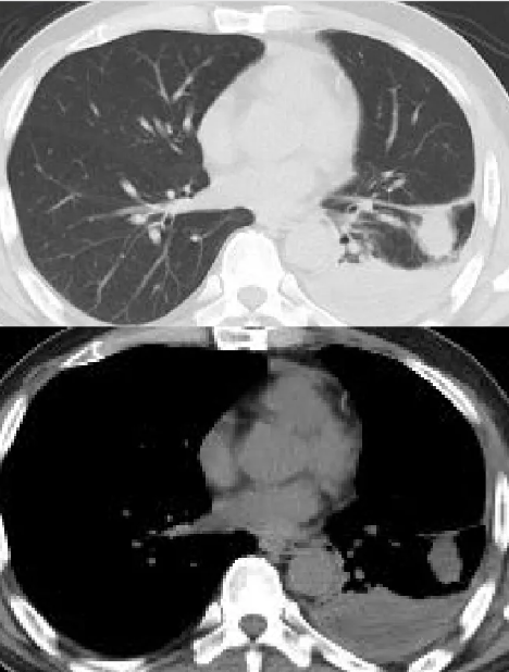
2025-12-20 出现寒战、发热,Tmax 39.6℃,伴咳嗽、咳黄脓痰,痰恶臭味。12-24于我院发热门诊查血常规WBC 6.32×10^9/L,N 72.6%;CRP 35.6mg/L,PCT 0.36ng/mL;D-二聚体 4.69mg/L。胸部CT: 左下肺渗出、部分不张,较2025-12-15片稍好转,左侧胸腔积液(部分包裹)较前稍减少,纵隔多发稍大淋巴结(较前增大)。诉口服莫西沙星后腹泻呕吐明显,予美罗培南抗感染,体温高峰下降,仍有咳嗽咳黄脓痰。2025-12-29尝试B超下胸腔穿刺引流失败。2025-12-29为明确肺内病灶病因并诊治收入中山医院感染病科。
既往史:高血压、2型糖尿病史,血压血糖控制可。发现肌酐高2年,最高139μmol/L。
二、入院检查(2025-12-29)
【体格检查】
T 37.2℃,P 82次/分,R 18次/分,BP 105/63mmHg。
神清,右肺呼吸音清,左肺中下部闻及呼吸音减弱,心律齐,心前区未闻及杂音。腹软无压痛。双下肢不肿。
【入院化验】
血气分析(鼻导管4L/min):pH 7.42,PaCO2 33.80mmHg,PaO2 79.8mmHg。
血常规:WBC 7.05×10^9/L,N 76.6%,Hb 97g/L。
炎症标志物:hsCRP 161.6mg/L,PCT 12.30ng/mL。
生化:ALB 31g/L,ALT/AST 38/50U/L,ALP/γGT 158/101U/L,sCr 87μmol/L。
病原学检查:T-SPOT.TB 阳性(抗原孔 12,阴性/阳性对照:0/380),G试验、GM试验、隐球菌荚膜抗原、EBV-DNA、CMV-DNA均阴性。
肿瘤标记物、免疫固定电泳、自身抗体阴性。
三、临床分析
病史特点:老年男性,受凉后急性起病,咳嗽咳痰进行性加重并伴胸痛、活动后气促、痰中带血。CT见左下肺渗出实变、两下肺渗出伴左下肺不张为主,合并左侧(部分包裹)胸腔积液进行性增多;胸腔引流为黄色浑浊液,胸水WBC高且中性粒细胞为主,但胸水传统病原学检查阴性;喹诺酮类+引流后好转出院,拔管出院后短期内复发寒战高热,咳黄脓臭痰。综合考虑感染性胸腔积液可能大,病原学鉴别诊断如下:
1、需氧菌为主的肺炎旁包裹性胸水/脓胸:常见于肺炎链球菌、金葡菌及肠杆菌科等,特点为肺实变基础上出现分隔包裹性积液、胸水中性粒细胞优势。本例左下肺实变进展、胸膜性胸痛及中性粒细胞为主的浑浊胸水均支持,但抗菌药暴露可致培养阴性。鉴别以胸水常规及生化判定积液性质,同时行胸水普通培养、胸水接种血培养瓶增菌培养,已经送胸水mNGS等,以提高阳性检出率。
2、口腔厌氧菌吸入所致脓胸:多为混合感染(拟杆菌、普雷沃、梭杆菌等),常累及下叶,脓液或痰液“恶臭”、胸水易呈现包裹分隔,且常规培养阳性率率低。本例为下叶病变伴包裹性胸腔积液、降钙素原明显升高、抗感染有效,拔管后短期出现寒战高热、咳黄脓臭痰,需警惕口腔厌氧菌所致;虽追问病史否认牙龈肿痛、醉酒误吸等病史,仍需要考虑厌氧菌感染可能。入院后可再次尝试包裹性胸水穿刺引流,关注胸水形状、常规,行胸水、痰mNGS等分子检测手段协助明确。
3、结核性胸膜炎:亦可表现为积液(可局部分隔)且ADA升高,胸水多为淋巴细胞优势,影像可见胸膜增厚结节或纵隔淋巴结受累。本例单侧包裹性胸腔积液,早期使用喹诺酮类有效,同时伴纵隔淋巴结肿大,需警惕结核感染可能。入院后可查痰Xpert.TB、痰mNGS进一步查找依据。如有条件,再次尝试胸水引流,胸水再次送检常规、生化、ADA、Xpert.TB、涂片找抗酸杆菌、分枝杆菌培养等检查进一步排查结核感染。
四、进一步检查、诊疗过程和治疗反应
2025-12-30 予哌拉西林/他唑巴坦4.5g q8h经验性抗感染;痰涂片找细菌真菌抗酸杆菌阴性,Xpert.TB阴性。
2025-12-31 超声引导下行胸腔积液穿刺置管术,引流出黄绿色脓性胸水,伴臭味。痰细菌培养阴性。
2025-12-31 胸水常规:蛋白定性试验 ++,红细胞 63000/mm3,白细胞 207450/mm3,多个核细胞 64%,单个核细胞 36%;ADA 100.0U/L;因脓液过于黏稠无法行生化及肿瘤标志物检查。胸水涂片找细菌真菌抗酸杆菌阴性,Xpert.TB阴性。
2026-01-01 胸水mNGS(2025-12-31采样):检出大量混合厌氧菌。
2026-01-03 体温平,咳嗽咳黄臭痰较前减少,胸水引流量减少;降级为头孢曲松2g qd+甲硝唑0.5g q12h抗感染。胸水细菌培养(2025-12-31采样):阴性。
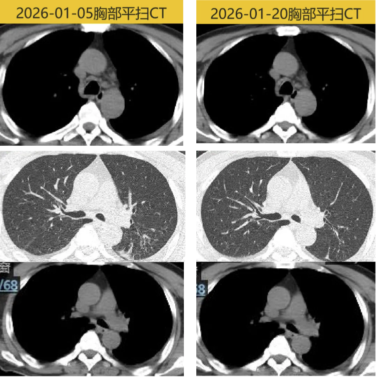
2026-01-05 随访WBC 4.72×10^9/L,N 66.4%;hsCRP 5.8mg/L,ESR 66mm/h,PCT 0.38ng/mL;ALT/AST 91/69U/L,D二聚体 1.01mg/L;炎症降至正常。胸部平扫CT:左侧胸腔积液较前25-12-24减少;两肺上叶新增炎症,治疗后随访;左下肺渗出、部分不张,较前稍好转,纵隔小/稍大淋巴结(较前变小)。
2026-01-07 予带管出院,改阿莫西林克拉维酸0.457g bid+甲硝唑0.4g tid口服。
出院后随访
2026-01-20 出院后体温平,无咳嗽咳痰,胸腔引流管无引流液;WBC 7.13×10^9/L,N 63.0%;hsCRP 0.6mg/L,ESR 13mm/h,PCT 0.08ng/mL;ALT/AST 28/33U/L,D二聚体 1.09mg/L;炎症标志物均降至正常,胸部平扫CT:左侧胸腔积液较前26-01-05减少;两肺上叶炎症,较前好转;左下肺渗出、部分不张,较前好转,纵隔小/稍大淋巴结(较前相仿)。予拔出胸腔引流管。嘱继续阿莫西林克拉维酸0.457g bid+甲硝唑0.4g tid口服,2周后感染病科门诊随访。
2026-01-26 电话随访:体温平,未再发热,无咳嗽咳痰。
五、最后诊断与诊断依据
最后诊断
细菌性肺炎,伴包裹性脓胸:混合厌氧菌
诊断依据
老年男性,急性起病,咳嗽咳痰逐渐加重并出现胸痛、活动后气促;多次随访胸部CT见左下肺渗出实变伴不张,并逐渐出现包裹性胸腔积液,抗感染+胸腔置管引流有效,胸水白细胞明显升高,多个核为主;但拔管后短期发现寒战发热、咳黄臭痰,再次胸腔置管因流出黄绿色脓性胸水伴臭味,胸水白细胞显著升高,胸水mNGS检出大量混合厌氧菌;予积极彻底引流、加强抗厌氧菌治疗后体温平、咳嗽咳黄臭痰减少、胸痛气促缓解、胸水引流液量减少,炎症标志物下降、复查CT病灶逐渐吸收、未再复发,最终拔管出院,进行性好转,故符合该诊断。
六、经验与体会
包裹/分隔性胸腔积液提示单靠抗菌药往往难以控制,宜尽早在介入超声/CT引导下穿刺置管引流并快速定性。同时把胸水一次性做全套评估以快速定性——外观(浑浊/脓性)、细胞分类(中性粒细胞优势提示化脓性)、生化(蛋白、葡萄糖、LDH)及常规病原学(细菌/真菌/抗酸图片、需氧/厌氧培养、结核分子检测等),尽快区分单纯渗出、复杂性积液与脓胸,为后续治疗路径争取时间。
厌氧菌及口咽混合感染在脓胸中常见,但抗生素暴露、包裹分隔及送检条件限制使常规培养阳性率偏低。建议胸水常规加做厌氧培养并尽量规范取材/快速送检,优先采用“胸水接种血培养瓶”提高检出。若培养阴性但临床高度怀疑(脓性臭味、迁延、包裹明显),应尽早引入mNGS等分子诊断明确病原学并指导精准用药。
脓胸/包裹性积液治疗需“有效抗感染+彻底引流”并重,经验性用药应覆盖口咽来源及厌氧菌并随病原学与疗效动态调整。更关键是保证引流充分与持续,拔管需综合引流量与性状、体温/炎症指标趋势及影像残腔/分隔情况。 本案即在阶段性好转后中途拔管出院,残余包裹腔隙成为复燃土壤,短期内再次高热、黄脓臭痰复发并迁延,提示“症状缓解≠感染清除”。
参考文献
[1] Davies HE, Davies RJO, Davies CWH, et al. Management of pleural infection in adults: British Thoracic Society Pleural Disease Guideline 2010. Thorax. 2010;65(Suppl 2):ii41–ii53.
[2] Kanellakis NI, Wrightson JM, Gerry S, et al. The bacteriology of pleural infection (TORPIDS): an exploratory metagenomics analysis through next generation sequencing. Lancet Microbe. 2022;3(4):e294–e302.
[3] Menzies SM, Rahman NM, Wrightson JM, et al. Blood culture bottle culture of pleural fluid in pleural infection. Thorax. 2011;66(8):658–662.
作者:陈方园 马玉燕 金文婷;审阅:胡必杰 潘珏
本文转载自订阅号“SIFIC感染视界”
原链接戳:探案丨培养全阴性,却越治越重:这包裹性胸水哪里出了问题?
* 文章仅供医疗卫生相关从业者阅读参考
本文完
责编:Jerry
