摘要
目的:探讨无心脑血管疾病的中青年男性阻塞性睡眠呼吸暂停(OSA)患者脑白质高信号(WMH)的特征及其对认知功能的影响。
方法:横断面研究。前瞻性选取2021年6月至2023年6月在苏州大学附属第二医院睡眠中心因打鼾就诊的患者,符合入排标准的患者均行多导睡眠监测(PSG),使用蒙特利尔认知评估量表(MoCA)和剑桥神经心理自动化成套测试(CANTAB)评估认知功能,采集头颅MRI数据,使用Fazekas视觉评分法评价WMH的严重程度。根据呼吸暂停低通气指数(AHI)将受试者分为对照组(AHI≤15次/h)和OSA组(AHI>15次/h),比较上述指标在两组间的差异。采用Spearman相关分析探讨WMH与认知功能之间的关系,logistic回归模型分析WMH发生的危险因素。
结果:纳入受试者共104例,均为男性,其中对照组48例,OSA组56例。PSG参数比较显示:OSA组的AHI、非快动眼睡眠1期加2期占总睡眠时间的比例(N1%+N2%)、氧减指数(ODI)、脉搏血氧饱和度低于90%时间所占比(TS90)更高(均P<0.05),非快动眼睡眠3期占总睡眠时间的比例(N3%)、快速动眼睡眠占总睡眠时间的比例(REM%)、最低脉搏血氧饱和度(MinSpO2)更低(均P<0.05)。认知测试比较显示:与对照组相比,OSA组的MoCA总分以及子项目视空间与执行、延迟回忆分数更低;CANTAB测试中的运动筛查任务(MOT)平均反应时间、图形视觉记忆(PRM)延迟识别反应时间和空间工作记忆(SWM)完成总时间更长(均P<0.05)。MRI成像显示:OSA组脑WMH发生率及Fazekas分级高于对照组(P<0.05),且深部脑白质高信号(DWMH)最常发生在额叶。受试者的Fazekas分级与MOT反应时间呈正相关(r=0.25,P=0.026),与PRM即刻识别正确率呈负相关(r=-0.36,P=0.002)。回归结果提示年龄增加是中青年OSA患者WMH发生的独立危险因素(OR=1.120,95%CI:1.038~1.210,P=0.004),而REM%增加是保护因素(OR=0.882,95%CI:0.801~0.901,P=0.011)。
结论:中青年男性OSA患者合并WMH的比例较高,并且与认知功能下降存在相关性。年龄增加是中青年男性OSA患者发生WMH的独立危险因素,而REM期睡眠比例增加是独立保护因素。
阻塞性睡眠呼吸暂停(obstructive sleep apnea,OSA)是一种常见的睡眠呼吸障碍性疾病,其与高血压、2型糖尿病、脑卒中、认知功能障碍等多种疾病密切相关[1, 2]。脑白质高信号(white matter hyperintensities,WMH)是脑小血管病在MRI的常见表现,呈现为脑白质区域的高亮度信号[3],根据部位不同,可分为脑室旁WMH(periventricular WMH,PWMH)和深部WMH(deep WMH,DWMH)。研究表明,WMH是脑小血管疾病的标志,与很多神经、精神疾病存在关联,包括卒中、痴呆、步态障碍、抑郁症的发病率增加等[4, 5]。OSA和WMH的关系目前已受到关注,大多数研究支持OSA是WMH发生的危险因素,但结论并不完全一致[6, 7]。以往的研究纳入的受试者包含了老年人和有心脑血管基础疾病的患者,这些人群本身是WMH高发人群,研究结果易受到混杂因素的影响。本研究受试者为中青年无高血压等心脑血管疾病者,减少了老龄和共病的影响,旨在探讨中青年OSA患者发生脑白质高信号的危险因素及其与认知功能的关系。
对象与方法
一、研究对象
横断面研究。前瞻性收集2021年6月至2023年6月因打鼾就诊于苏州大学附属第二医院睡眠中心并接受多导睡眠监测(polysomnography,PSG)的患者。纳入标准:(1)男性;(2)年龄25~55岁;(3)初中及以上学历;(4)均为初诊患者,未接受过OSA相关的呼吸机或手术治疗。排除标准:(1)既往诊断高血压、冠心病、脑卒中、糖尿病者;(2)有其他神经、心理疾病,如帕金森病、阿尔茨海默病、焦虑症、抑郁症,或近期服用精神类药物;(3)中枢性睡眠呼吸暂停、失眠等其他睡眠障碍疾病;(4)存在其他严重的基础疾病,如恶性肿瘤、严重心肺功能不全、肝肾功能不全等;(5)存在MRI检查禁忌患者,如体内金属植入物、幽闭恐惧等;(6)MRI发现明显的颅内器质性病变者;(7)不能配合完成认知测试者,以及不能配合完成MRI检查者;(8)PSG监测当晚总睡眠时间<5 h者。最终符合入排标准的受试者共104例。根据《阻塞性睡眠呼吸暂停低通气综合征诊治指南(2011年修订版)》,将呼吸暂停低通气指数(apnea hypopnea index,AHI)≤15次/h的患者作为对照组,共48例,其中包括25例单纯鼾症及23例轻度OSA;将AHI>15次/h作为OSA组,共56例,包括19例中度和37例重度OSA。受试者事先被告知研究内容,签署知情同意书。本研究遵循赫尔辛基宣言,经过苏州大学附属第二医院伦理委员会审批(批准号:JD-LK-2018-004-02)。
二、研究方法
(一)一般资料与Epworth嗜睡量表(Epworth Sleepiness Scale,ESS)
收集患者的基本信息和临床资料,包括性别、年龄、受教育年限、体重指数(body mass index,BMI)、吸烟史、饮酒史,以及日间嗜睡、晨起疲劳、记忆力下降等临床症状。嗜睡评分采用ESS评分,总分值0~24分,评分>10分代表存在嗜睡。
(二)PSG监测
采用美国飞利浦伟康公司(Alice6)及澳大利亚Compumedice公司(Compumedice E Series-57)的PSG监测仪行睡眠监测,均在苏州大学附属第二医院睡眠中心进行。监测内容主要包括:鼾声、口鼻气流、胸腹运动、脑电图、眼电图、心电图、颌肌肌电图以及脉搏血氧饱和度(pulse oxygen saturation,SpO2)等。PSG记录的参数如下:AHI、氧减指数(oxygen desaturation index,ODI)、最低脉搏血氧饱和度(minimum SpO2,MinSpO2)、脉搏血氧饱和度<90%时间占总睡眠时间的百分比(percentage of total sleep time with oxygen saturation<90%,TS90)、总睡眠时间(total sleep time,TST)、非快动眼睡眠1期占总睡眠时间的比例(the percentage of non-rapid eye movement sleep stage 1 in total sleep time,N1%)、非快动眼睡眠2期占总睡眠时间的比例(N2%)、非快动眼睡眠3期占总睡眠时间的比例(N3%)、快动眼睡眠占总睡眠时间的比例(the percentage of rapid eye movement sleep in total sleep time,REM%)等。由睡眠中心的专职技师根据美国睡眠医学学会(American Academy of Sleep Medicine,AASM)《睡眠及其相关事件判读手册》2.6版[8]进行人工判读。
(三)认知功能评估
所有受试者均于行PSG监测当天由经过培训的同一医生采用统一引导语进行评估。
1. 蒙特利尔认知评估量表(Montreal Cognitive Assessment,MoCA):对患者视空间与执行功能、命名、注意、语言、抽象、延迟回忆、定向7个方面的认知功能进行评估筛查,总分30分,低于26分认为存在轻度认知功能障碍。
2. 剑桥神经心理自动化成套测试(cambridge neuropsychological test automatic battery,CANTAB),是一种计算机上操作的标准化的神经心理认知测试工具。本研究选取CANTAB测试工具中的3个子测试进行认知功能评估。
(1)运动筛查任务(motor screening task,MOT):要求受试者尽快点击屏幕上出现的“×”,用于评估警觉性,测量指标为平均反应时间,反应时间越长表示警觉性越低。
(2)图形再认记忆(pattern recognition memory,PRM):屏幕上逐一出现12幅图形,随后逐次出现12组2张1组的图形,每组让受试者快速选择之前出现过的一幅图形,此为即刻模式。20 min后再次让患者进行选择,此为延时模式。测量识别正确率和识别反应时间,即刻和延迟模式的识别正确率分别评估即刻视觉记忆和延迟视觉记忆,识别反应时间代表任务处理速度。
(3)空间工作记忆(spatial working memory,SWM):受试者被要求点击彩色方块找出隐藏的蓝色盒子,用于填满右侧的空柱子,每个方块不会重复出现蓝色盒子,若重复点击已出现蓝色盒子的方块即为错误。用于测试受试者的空间工作记忆和执行功能,记录策略分(受试者完成搜索过程中点击方块总次数)和完成总时间,策略分越低表示空间工作记忆越好,完成总时间代表任务处理速度。
(四)头颅MRI检查及WMH评估
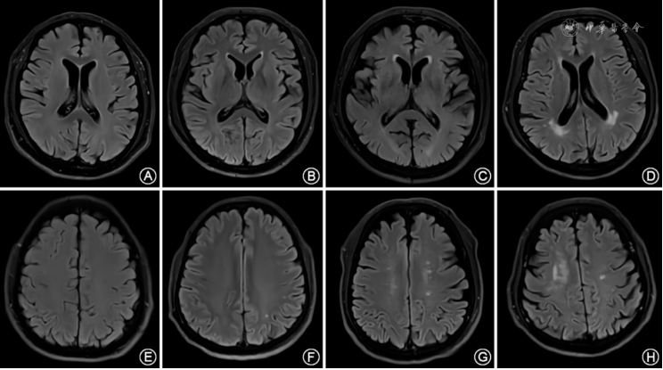
于PSG检查前后2周内完成,采用3.0 T MR扫描仪(Siemens,Prisma,德国)进行图像采集。扫描序列包括:常规T1加权像序列(T1WI;TR:2 300 ms,TE:2.34 ms)、T2加权像序列(T2WI;TR:4 500 ms,TE:98 ms)、液体衰减反转恢复序列(FIAIR;TR:9 000 ms,TE:81 ms),层厚4 mm。由固定1位对受试者PSG结果不知情的影像科医师,根据颅脑T2WI和FIAIR序列,使用Fazekas视觉分级法对受试者的WMH进行评价。Fazekas评分标准如下[9]:PWMH评分:无病变记为0分(图1A);存在帽状或者铅笔样薄层病变记为1分(图1B);存在病变呈光滑的晕圈记为2分(图1C);存在不规则的PWMH,延伸到深部白质(图1D),记为3分。DWMH:无病变记为0分(图1E);点状病变记为1分(图1F);病变开始融合记为2分(图1G);病变大面积融合记为3分(图1H)。PWMH和DWMH评分之和即为WMH总分,根据总分进行Fazekas分级:总分0分为Fazekas 0级,1~2分为Fazekas 1级,3~4分为Fazekas 2级,5~6分为Fazekas 3级。
图1 Fazekas视觉分级法的脑白质高信号(WMH)评分示意图 图A、B、C、D分别为脑室旁WMH 0、1、2、3分的示意图,图E、F、G、H分别是深部WMH 0、1、2、3分的示意图。以上各图均取自本研究患者中的MRI FLAIR序列。其中图D来自1例41岁的睡眠呼吸暂停(OSA)患者,呼吸暂停低通气指数(AHI)28.1次/h,蒙特利尔认知评估量表(MoCA)测试 26分,可见脑室旁不规则的高信号延伸到深部白质;图H来自1例42岁的OSA患者,AHI 62.8次/h,MoCA 测试25分,可见深部白质区域大面积的高信号融合
三、统计学分析
所有数据资料均采用SPSS 26.0软件进行处理。对计量资料进行正态性检验。符合正态分布的计量资料以x¯±s表示,两组间比较在方差齐时使用独立样本t检验,方差不齐则采用校正t检验;非正态分布的计量资料以M(Q1,Q3)表示,组间比较使用非参数 Mann-Whitney U检验。分类资料以例(%)表示,两组间比较使用Pearson χ²检验,不满足χ²检验条件则采用Fisher精确概率法比较。Fazekas分级视为有序分类资料,两组比较采用Mann-Whitney U检验。相关性采用Spearman相关分析。单因素logistic回归分析中P<0.1的变量纳入多元logistic回归方程,以方差膨胀因子(VIF)>10.0为标准排除多重共线性的变量。以P<0.05为差异有统计学意义。
结果
一、两组患者一般资料和主要症状的比较
与对照组相比,OSA组的BMI、ESS评分以及主诉日间嗜睡、记忆力下降、晨起疲劳感、睡眠时腿动的比例均更高(均P<0.05);年龄、受教育年限、吸烟史、饮酒史、收缩压、舒张压以及主诉夜尿、做梦、早醒的比例差异均无统计学意义(均P>0.05)。详见表1。
二、两组患者PSG参数的比较
与对照组相比,OSA组的AHI、N1%+N2%、ODI、TS90均更高(均P<0.05);N3%、REM%、MinSpO2均更低(均P<0.05),详见表2。
三、两组患者认知功能比较
对照组中有3例MoCA总分低于26分,OSA组中有10例MoCA总分低于26分。与对照组相比,OSA组MoCA总分以及子项目的视空间与执行、延迟回忆分数均更低(均P<0.05),MoCA子项目中的命名、注意、语言、抽象、定向差异均无统计学意义(均P>0.05);CANTAB测试中,与对照组相比,OSA组的MOT平均反应时间、PRM延迟识别反应时间、SWM完成总时间更长,PRM即刻识别正确率及反应时间、PRM延迟识别正确率、SWM策略分组间差异均无统计学意义(均P>0.05)。详见表3。
四、两组患者WMH发生的比例、部位及严重程度比较
所有受试者中,WMH的发生率为23.1%(24/104),与对照组相比,OSA组WMH总发生率、DWMH发生率更高(P<0.05),而PWMH发生率差异无统计学意义(P>0.05)。DWMH发生在额叶的比例最高,且OSA组额叶DWMH发生率比对照组更高(P<0.05),其他脑叶DWMH发生率差异无统计学意义(均P>0.05)。与对照组相比,OSA组Fazekas分级更高(P<0.05)。详见表4。
五、受试者Fazekas分级与认知测试相关性分析
Spearman相关分析显示,受试者的Fazekas分级与MOT反应时间呈正相关(r=0.25、P=0.026),与即刻识别正确率呈负相关(r=-0.36、P=0.002),与PRM即刻识别反应时间、PRM延迟识别反应时间及PRM延迟识别正确率无相关性(P>0.05)。
六、受试者WMH发生的logistic回归分析
为进一步了解WMH发生的危险因素,我们进行了logistic回归分析。将年龄、BMI、饮酒、吸烟、收缩压、舒张压以及PSG参数中的AHI、N1%+N2%、N3%、REM%、MinSpO2、ODI、TS90(%)行VIF共线性筛查,VIF大于10的ODI和N1%+N2%予剔除。其余变量分别行单因素logistic回归分析。分类变量中的不饮酒赋值为0,饮酒赋值为1;不吸烟赋值为0,吸烟赋值为1。其他连续变量形式不做变动。单因素logistic回归分析结果中,年龄、AHI、N3%、REM%的P值小于0.1。上述四个变量纳入多因素logistic回归分析,结果示在所有受试者中,年龄增加是WMH发生的独立危险因素,而REM%增加是独立保护因素(P均<0.05),OR(95%CI)值分别为1.120(1.038~1.210)和0.882(0.801~0.901)。详见表5。
讨论
脑白质是大脑内神经轴突和髓鞘聚集的部位,主要功能是传导神经信号。WMH是脑小血管病变中最常见的类型,其病理机制包括脱髓鞘、炎症、梗死和缺血等[10],它与阿尔茨海默病、缺血性卒中等多种疾病相关,对WMH严重程度的判断有助于预测这些疾病发病的风险及预后[11, 12]。近年来也有研究观察到OSA和脑WMH之间存在关联,但因受入组年龄较大、有心脑血管合并症的影响,结论并不完全一致[6, 7]。
为了避免年龄及高血压、糖尿病等血管因素对WMH的影响,本研究纳入了无心脑血管基础疾病的中青年男性受试者,其中OSA组中位年龄仅为38.13岁,已有32.1%的患者出现了WMH,有39.3%的患者主诉有记忆下降。我们使用MoCA量表评估发现,OSA组患者存在视空间功能、延迟记忆下降;同时使用计算机操作的CANTAB测试发现,OSA组的警觉性和任务处理速度比对照组下降,这与我们的前期研究结果一致[13]。相较于传统的认知评估量表而言,计算机系列软件测试更为精确,且受试者的依从性好,有助于发现早期的认知功能受损。
本研究利用颅脑MRI的T2WI和FIAIR序列,对WMH的评价采用人工判读的Fazekas视觉分级方法,目前也有一些研究采用了基于计算机的自动化WMH分割方法[14],自动化判断在快速和批量处理方面具有优势,但在复杂病变或者图像质量欠缺时,人工判断有更高的准确性。本研究发现有24位受试者出现WMH,其中12例患者只有DWMH,2例患者只有PWMH,10例患者同时出现DWMH和PWMH,DWMH发生率高于PWMH。我们观察到,严重的WMH往往同时有脑室旁和深部白质受累。本项研究中,大部分DWMH发生于额叶(83.3%),这与既往的研究结果类似[15]。额叶是认知整合的中枢,在注意力、执行功能,以及记忆的存储和检索中起到重要的作用[16, 17],额叶出现WMH可能对认知损伤尤为显著。本研究中相关性分析也显示,患者WMH严重程度与警觉性、即时视觉记忆下降有相关性,提示WMH可能参与了OSA患者的认知损害过程。有研究证实脑白质在即时和延迟记忆、处理速度、执行功能在内的几个认知领域中起关键作用[18]。
本研究中OSA组的WMH发生率及其严重程度显著高于对照组,如图1H,是1例42岁的重度OSA患者,MoCA评分存在轻度认知功能障碍,MRI可见深部白质区域大面积的高信号融合。OSA患者发生脑小血管病变、脑白质损伤的机制可能与脑血流灌注减少、血脑屏障功能失调以及神经炎症反应有关[19, 20]。我们进行了logistic回归分析发现,除了年龄增加是WMH发生的独立危险因素之外,值得注意的是发现REM%增加是WMH发生的独立保护因素。既往的一些研究可能为这一发现提供解释,如Tsai等[21]研究发现REM睡眠期间脑毛细血管血流量大幅增加;Deuschle等[22]发现REM睡眠期间脑保护性神经营养因子增加。由于本研究样本量较小,REM睡眠对WMH的影响仍有待于更大样本的研究。在回归分析中,夜间低氧的参数并未发现有统计学意义,可能因为该组患者为中青年,脑循环对缺氧有一定代偿和调节的能力,缺氧的损害需要较长的时间才能显露出来[23]。
综上所述,本研究表明在无心脑血管基础疾病的中青年男性人群中,OSA患者有一定的WMH发生率和严重程度,且WMH可能参与了OSA患者的认知功能损伤,这为临床亟需尽早通过CPAP、手术等手段干预OSA,降低脑小血管病的发生,为改善认知功能损伤提供了更多的依据。同时本研究发现REM睡眠增加是WMH的保护因素,提示我们在对OSA的评估和治疗中也要关注睡眠结构的改变。
本研究尚存在的不足之处:(1)本研究是横断面的观察性研究,未纵向观察WMH的变化。(2)研究纳入的样本量仍较少,观察对象仅为男性。(3)未纳入CPAP治疗对WMH影响的资料,有待团队后续进一步研究。
参考文献(略)
作者:丁啸 王婧 伋立荣 王智君 李志强 吴慧 陈锐;第一作者单位:苏州大学附属第二医院呼吸与危重症科;通信作者:陈锐,苏州大学附属第二医院呼吸与危重症科
引用本文: 丁啸, 王婧, 伋立荣, 等. 中青年男性阻塞性睡眠呼吸暂停患者脑白质高信号的特征及其对认知功能的影响[J]. 中华结核和呼吸杂志, 2025, 48(4): 350-357. DOI: 10.3760/cma.j.cn112147-20241017-00616.
本文转载自订阅号「中华结核和呼吸杂志」
原链接戳:【论著】中青年男性阻塞性睡眠呼吸暂停患者脑白质高信号的特征及其对认知功能的影响
* 文章仅供医疗卫生相关从业者阅读参考
本文完
责编:Jerry
