一、病史简介
男性,66岁,江苏人,退休职员,2025-05-20入中山医院感染病科。
主诉:间断胸闷3月。
现病史:
2025-02 无明显诱因下出现间断胸闷,伴腰背部不适,否认头痛、恶心、呕吐等。初始未重视,胸闷进行性加重。
2025-05-09 就诊于当地医院,查WBC 9.93×10^9/L,N% 77.2%,Hb 73g/L;CRP 6.4mg/L,sCr 232μmol/L;血隐球菌荚膜抗原阳性。胸部CT:右肺多发斑片模糊影,考虑炎症,两肺散在磨玻璃结节;予莫西沙星0.4g qd经验性抗感染。
2025-05-14 胸闷无好转,行支气管镜:左下肺背段粘膜苍白增厚,可见少许白色泡沫样分泌物,右下肺背段粘膜纵行,可见较多白色泡沫样分泌物。灌洗液tNGS检出新生隐球菌(序列数3260)、白色念珠菌(序列数2277)、CMV(序列数2688560)、EBV(序列数815492)。头颅MRI:未见明显异常;予氟康唑0.2g qd ivgtt抗真菌。
2025-05-20 为明确肺内病灶性质收入中山医院感染病科。
既往史:2024-12外院诊断为间质性肾炎,予泼尼松+吗替麦考酚酯治疗,2025-04再次肾穿刺,病理提示IgA肾病,目前口服泼尼松25mg qd。
二、入院检查(2025-05-20)
【体格检查】
T 36.4℃,P 88次/分, R 20次/分,BP 114/82mmHg。
神清,言语清晰,双肺叩诊清音,听诊呼吸音清。心前区无隆起,心界不大,律齐。腹软,无压痛、反跳痛,肝脾肋下未及,肝肾区无叩击痛,肠鸣音4~5次/分,双下肢无水肿。
【实验室检查】
血常规:WBC 11.34×10^9/L,N 87.5%,L 1.1 ×10^9/L,Hb 87g/L,PLT 180×10^9/L 。
血气分析(不吸氧):PH 7.4,PaCO2 31mmHg,PaO2 93mmHg。
炎症标志物:ESR 34mm/h,hsCRP 1.92mg/L,PCT 0.11ng/mL。
生化:Cr 232μmol/L,肝功能、电解质正常。
出凝血功能:D-二聚体 2.29mg/L。
肿瘤标志物+自身抗体:CEA 10.1ng/ml,CA19-9 47.2U/L,Cyfra211 6.0ng/ml, Pro-GRP 133pg/ml,自身抗体均阴性。
细胞免疫:T淋巴细胞绝对计数 372cells/μL,CD4 123cells/μL,CD8 246cells/μL。
T-SPOT.TB:抗原 17(阴性/阳性对照 0/462),血隐球菌荚膜抗原阳性,G试验、GM试验、CMV-DNA、EBV-DNA均阴性。
【辅助检查】
心超:未见明显异常。
胸部CT:右肺为著见多发斑片、小结节改变,部分纤维条索样病灶。
三、临床分析
病史特点:中老年男性,慢性病程,既往有IgA肾病基础,长期口服激素治疗,本次起病以胸闷症状为主要表现,病程中查白细胞、炎症指标稍高,多项肿瘤标志物升高,血隐球菌荚膜抗原阳性,胸部CT见右肺为主多发斑片影,氟喹诺酮类经验性抗感染效果不佳,后续灌洗液tNGS检出新生隐球菌、白色念珠菌、CMV-DNA及EBV-DNA,氟康唑短期治疗后肺内病灶未见吸收,需考虑以下鉴别诊断:
1、细菌性肺炎:多急性起病,以发热、咳嗽咳痰为主要表现,血白细胞及炎症指标均升高,胸部CT可见斑片浸润、肺叶/段实变及渗出影等。该患者胸闷3月余,病程中无发热,罕有咳嗽咳痰,炎症指标不高,喹诺酮类治疗后症状改善不明显,BALF tNGS未检出致病细菌,与细菌性肺炎表现不符,但胸部CT见多发斑片、小结节影,且长期口服激素,细菌感染风险高,可再次完善痰或灌洗液细菌涂片+培养、mNGS以协助诊断。
2、真菌性肺炎:本例为慢性病程,外院BALF tNGS检出新生隐球菌,血隐球菌荚膜抗原阳性*2次,氟康唑治疗效果不明显考虑用药疗程尚短,虽肺部影像学不似常见的胸膜下单发/多发结节影,但隐球菌感染也可表现为斑片浸润影,隐球菌肺炎可能极大;此外,对于患者外院BALF tNGS检出的白色念珠菌,考虑为呼吸道定植,并非本次肺内病灶的致病菌;需要警惕的是,患者为免疫抑制人群,肺内多发斑片影需警惕曲霉菌、耶氏肺孢子菌感染。后续可完善痰真菌涂片+培养,痰真菌三联检(曲霉菌属、新型隐球菌、耶氏肺孢子菌),必要时可再次行气管镜检查,通过BALF及肺组织的病原学涂片培养、mNGS及病理结果明确诊断。
3、病毒性肺炎:常见的病毒包括流感病毒、新型冠状病毒、腺病毒等,多起病急,以呼吸道症状为主要表现。该患者病程较长,期间无发热及呼吸道症状,炎症指标不高,与病毒感染表现不甚相符,且BALF tNGS未检出呼吸道病毒,故呼吸道病毒导致的病毒性肺炎可能性较小。考虑到患者长期口服激素处于免疫抑制状态,肺内多发斑片、结节状影,BALF tNGS检出CMV,但外周血CMV-DNA阴性,可通过再次完善气管镜检查,行BALF mNGS及肺组织病理免疫组化等协助诊断。
4、肺结核:病程缓慢,影像学表现多样,可见斑片状浸润、纤维条索、结节、空洞等,常规抗生素效果欠佳。本例患者虽Tspot阳性,但为弱阳性结果,且患者中老年人,故对活动性肺结核的诊断意义较小,可通过痰或/和BALF抗酸涂片、Xpert.TB和分枝杆菌培养等进一步明确诊断,必要时完善肺穿刺病理协诊。
四、进一步检查、诊治过程和治疗反应
2025-05-20 继续予氟康唑 200mg qd po抗隐球菌治疗,泼尼松25mg qd po抗炎,辅以护胃、补钙、抗氧化等治疗。
2025-05-21 行腰穿:脑脊液压力165mmH2O,脑脊液常规、生化均正常;涂片找细菌、真菌、隐球菌、抗酸杆菌(-),Xpert.TB(-),隐球菌荚膜抗原(-);ADA 1U/L;细胞学涂片:幼稚细胞(-),见少量淋巴及单核细胞,偶见中性分叶核粒细胞。
2025-05-21 痰涂片找细菌、真菌、抗酸杆菌(-),Xpert.TB(-)。
2025-05-22 痰真菌三项(05-21送检):新型隐球菌DNA阳性(Ct值 25.03)、肺孢子菌DNA阳性(Ct值 30.78);脑脊液mNGS(05-21送检):阴性。
2025-05-23 随访血常规:WBC 10.15×10^9/L,N 76.7%,L 1.7×10^9/L,Hb 84g/L;炎症标志物:ESR 32mm/h,hsCRP 2.9mg/L,PCT 0.09ng/mL;Cr 202μmol/L。
2025-05-23 支气管镜:各支气管管腔通畅、粘膜光滑,未见新生物。BALF及肺组织涂片找细菌、真菌、抗酸杆菌(-),XPERT.TB(-),BALF隐球菌荚膜抗原 (+)、GM试验(-);ROSE:组织细胞及多核巨细胞内见大量孢子样物,倾向肉芽肿性病变,隐球菌等感染可能;肺组织初步病理:局部见少量可疑孢子样物。
2025-05-23 隐球菌荚膜抗原滴度:血清 1:5120,BALF 1:640。
2025-05-24 BALF mNGS(05-23送检):新生隐球菌(SMRN 3701)、耶氏肺孢子菌(SMRN 4) 、CMV(SMRN 16446)、EBV(SMRN 513);氟康唑谷浓度(05-23采样)15.6mg/L(参考值:6-20mg/L)。
2025-05-25 加用更昔洛韦 0.125g q12h ivgtt(根据EGFR调整剂量)抗CMV;血培养(05-20送检):需氧菌、厌氧菌、真菌均阴性。
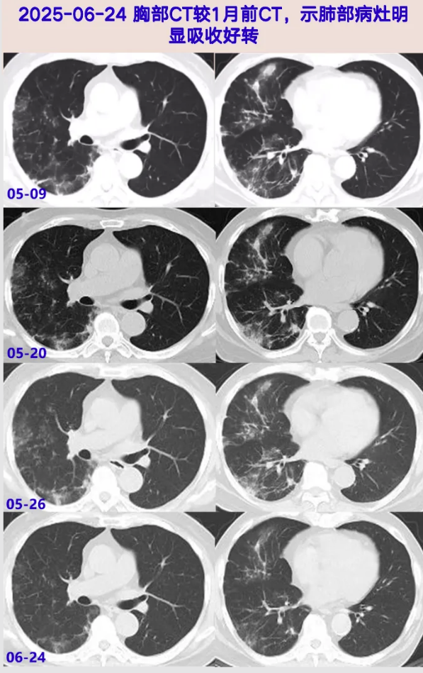
2025-05-26 肺组织病理免疫组化及特殊染色:考虑真菌感染,隐球菌可能;随访血常规:WBC 9.68×10^9/L,N 80.5%,L 1.2×10^9/L,Hb 80g/L;炎症标志物: ESR 28mm/h,hsCRP 19.6mg/L,PCT 0.09ng/mL;Cr 206μmol/L ;胸部CT:右肺为著多发炎性病变,较05-20大致相仿。
2024-05-27 胸闷好转,体温平,予出院;继续口服氟康唑 0.2g qd抗隐球菌+更昔洛韦0.25g tid(2周后停药)抗CMV+异烟肼 0.3g qd 预防性抗结核。
出院后随访:
2025-05-28 肺组织真菌培养(05-23送检):新型隐球菌。
2025-06-24 随访血常规:WBC 13.53×10^9/L,N 77.3%,L 1.9×10^9/L,Hb 108g/L,PLT 171×10^9/L;炎症标志物: ESR 28mm/h,hsCRP 1.2mg/L,PCT 0.1ng/mL ;Cr 242μmol/L;胸部 CT:右肺为著多发炎性病变,较05-26局部吸收,嘱患者随访血隐球菌荚膜抗原,继续随访中……
五、最后诊断与诊断依据
最后诊断
新型隐球菌肺炎
巨细胞病毒性肺炎(疑似)
IgA肾病
诊断依据
中老年男性,慢性病程,胸闷起病,无明显其余伴随症状,因肾病长期口服激素治疗,炎症指标无明显升高,胸部CT见右肺为主多发斑片影,血及BALF隐球菌荚膜抗原滴度显著升高,BALF mNGS检出新生隐球菌、耶氏肺孢子菌(序列数少,且与患者症状及后续治疗结果不符)、CMV-DNA及EBV-DNA,肺组织病理特殊染色见PAS及六胺银(+),肺组织培养新生隐球菌(+),完善腰穿颅内压正常,脑脊液常规、生化、病原学及细胞学检查均阴性,氟康唑治疗1月后肺内病灶较前吸收好转,综上新型隐球菌肺炎诊断明确。
该患者免疫抑制状态,属于CMV的易感人群,血CMV-DNA阴性,肺内可见右侧为主的斑片状浸润影,与巨细胞病毒性肺炎常见的双侧斑片状或弥漫性阴影不完全相符,虽BALF tNGS及mNGS均检出CMV,但后续肺组织病理学中无CMV感染的相关证据(包涵体等),故考虑为巨细胞病毒性肺炎疑似。
六、经验与体会
肺隐球菌病 (Pulmonary Cryptococcosis, PC) :由新生隐球菌或格特隐球菌经呼吸道吸入后引起的侵袭性肺真菌病,其临床表现缺乏特异性,CT影像学上常见孤立或多发结节影,也可表现为斑片状浸润或实变影,治疗延误可导致感染播散至脑引发隐球菌脑膜炎,主要见于免疫功能低下的人群如HIV感染者、免疫抑制剂治疗人群、器官移植患者等,但近年来在免疫功能正常人群中的发病率逐步增高。PC的确诊主要依赖于隐球菌荚膜抗原、病原学涂片及培养、组织病理学及分子诊断学技术(PCR、mNGS等)。另外对于免疫功能低下的PC患者,指南建议完善血培养和腰椎穿刺术,以明确有无隐球菌血症及隐球菌脑膜炎。对于肺部严重受累、血液隐球菌抗原滴度大于1∶512的患者,应按照隐球菌脑膜炎的要求进行诱导期(首选两性霉素B脂质体联合5-氟胞嘧啶)+巩固期(氟康唑)+维持期(氟康唑)治疗。本例患者虽肺内影像学与PC的经典表现不符,但后续血及BALF隐球菌荚膜抗原显著升高(分别1:5120、1:640)及肺组织培养新型隐球菌的阳性结果为诊断提供了确切的依据,同时考虑到患者长期口服激素免疫抑制状态,予进一步完善血培养及腰椎穿刺术均未见异常,治疗方面,本例患者IgA肾病肾功能不全,无法进行诱导期治疗,根据EGFR调整口服氟康唑剂量为200mg/d,后续随访氟康唑谷浓度正常,1月后随访肺内病灶较前吸收,治疗有效。
巨细胞病毒( Cytomegalovirus,CMV):属于β疱疹病毒科的双链DNA病毒,可感染肺、肝脏、肾、肠道等器官,人群中CMV血清抗体的阳性率可达50%以上,提示既往感染和目前的病毒潜伏状态,免疫功能正常的患者通常无症状或仅表现为自限性发热;在免疫功能抑制人群中,CMV感染容易诱发组织器官损伤,如巨细胞病毒性肺炎(Cytomegalovirus Pneumonia, CMP)。CMP的诊断需要有肺部感染的临床表现(发热、咳嗽、呼吸困难等),影像学提示间质性肺炎,且通过病毒分离、快速培养、组织病理学、免疫组织化学或DNA杂交技术在肺组织中发现CMV感染的证据,并排除其他原因导致的肺炎;而通过病毒分离、快速培养或 DNA 定量检测在BALF中发现CMV仅可诊断为疑似CMP。本例患者临床症状较轻,血CMV-DNA阴性,BALF tNGS及mNGS均检出CMV,组织病理未提示与CMV感染相符的改变或包涵体,故CMP的诊断存疑,但因考虑患者到为免疫抑制人群,本次仍予更昔洛韦抗病毒治疗。
参考文献
[1]. Christina C, Chang, Thomas S, Harrison, Tihana A, Bicanic et al. Global guideline for the diagnosis and management of cryptococcosis: an initiative of the ECMM and ISHAM in cooperation with the ASM.[J] .Lancet Infect Dis, 2024, 24: 0.
[2]. Lisa, Swartling,Mona-Lisa, Engman,Jaran, Eriksen et al. Management of cytomegalovirus infections - Swedish recommendations 2023.[J] .Infect Dis (Lond), 2024, 56: 0.
[3]. Cunha Burke A,Cytomegalovirus pneumonia: community-acquired pneumonia in immunocompetent hosts.[J] .Infect Dis Clin North Am, 2010, 24: 147-58.
作者:苑菲菲 金文婷 马玉燕;审阅:胡必杰 潘珏
本文转载自订阅号「SIFIC感染视界」
原链接戳:探案丨这样的肺部病灶,真的是“隐”患吗?
* 文章仅供医疗卫生相关从业者阅读参考
本文完
责编:Jerry
