摘要
本文报道了1例免疫功能正常宿主罹患播散性芽生菌病的临床病例,详细总结了该病例的临床特征及诊疗过程,并通过相关文献检索与回顾,探讨了芽生菌病的流行病学特点、临床表现、诊断标准及治疗策略,旨在提高非流行地区医师对该疾病的认识,以便早期诊断和治疗。
患者男,41岁,因“发现右肺占位2个月,胸闷气短1个月余”于2024年6月4日入院。患者自2个月前(2024年4月5日)因泌尿系结石拟行手术治疗,在当地医院术前胸部CT检查中发现右肺下叶占位(图1)。后行支气管镜检查,提示右肺下叶内基底段隆起性肿物,阻塞管腔,遂行右下肺叶切除术,术后病理示:肉芽肿性炎,小灶脓肿形成,不除外特殊感染性疾病。结合病理回报,当地医院考虑结核可能性大,给予四联抗结核药物(左氧氟沙星、异烟肼、吡嗪酰胺、乙胺丁醇)治疗,于2024年5月6日出院。出院后,患者间断胸闷、气短、咳嗽、咳少量白痰,易咳出,但无发热。居家过程中,患者发现左前胸壁、后背中下部及颅顶等部位新发肿块,呈进行性增大。1周前,患者复查胸部CT示(术后36 d):右肺下叶切除术后改变,右肺上中叶炎症,右腋窝淋巴结肿大,右侧胸腔少量积液,双侧胸膜局部增厚,左侧胸壁及胸骨软组织密度影;完善头颅CT示:左侧顶部皮下占位伴骨质破坏,考虑转移瘤可能,为求进一步诊治入我院。既往有慢性乙型病毒性肝炎病史20年,未规律诊治,右肾结石体外碎石术及双侧输尿管支架置入术后1个月,否认外伤、输血史,否认药物、食物过敏史,无吸烟史,无酗酒史。从事牛羊饲料运输工作3年,常有牛羊接触史。否认工业毒物、粉尘及放射性物质接触史,无性病冶游史。家族史无特殊。
图1 2024年4月5日外院术前胸部CT检查时首次发现右肺下叶实变团块影
体格检查:体温37.0 ℃,脉率120次/min,呼吸频率22次/min,血压103/82 mmHg(1 mmHg=0.133 kPa)。患者意识清楚,语言流利,左侧颅顶皮下可触及直径约4 cm肿物(图2),质稍硬,基底活动度差,无压痛。右侧胸壁可见一横行手术瘢痕,长约20 cm,愈合良好。左前胸壁(图3)及左后背中下部分别可见约10 cm×8 cm肿物,无压痛。双肺呼吸音粗,未闻及干湿性啰音。心率120次/min,心律齐,各瓣膜听诊区未闻及杂音。腹软,无压痛、反跳痛及肌紧张,双下肢无水肿。
图2 入院时颅顶肿物;图3 入院时左胸壁肿物
入院诊断:(1)胸壁、背部、颅顶多发肿物,性质待查(感染或肿瘤性病变?);(2)右肺下叶切除术后;(3)慢性乙型病毒性肝炎;(4)右肾结石体外碎石术后;(5)双侧输尿管支架置入术后。
入院后动脉血气分析(FiO2 21%):pH值为7.446,PaCO2为36.5 mmHg,PaO2为83.3 mmHg,PaO2/FiO2为3.97 mmHg;血细胞分析:白细胞 7.33×109/L,中性粒细胞百分比80.75%,淋巴细胞计数1.49×109/L,血小板总数 402×109/L;尿便常规正常;白蛋白29.1 g/L,肝肾功能、血脂、糖化血红蛋白均正常;血钠 131.0 mmol/L,血钾3.13 mmol/L;血凝四项、D-二聚体大致正常;C-反应蛋白45.62 mg/L,血清淀粉样蛋白A为37.04 mg/L,IL-6为78.18 ng/L,ESR为81 mm/1 h;降钙素原正常。传染病八项:乙肝核心抗体>45.000 U/ml,乙肝表面抗原>250.000 U/ml,乙肝E抗原>210.000 U/ml;呼吸道八项快检、痰结核DNA、痰抗酸染色均阴性;PPD试验阴性;血TB-SPOT、GM实验、G实验、隐球菌抗原均阴性;抗核抗体:阳性(+),核均质型 1∶100;抗ENA抗体:抗Ro-52抗体 65.60 AU;风湿三项:类风湿因子 11.00 U/ml,抗链球菌溶血素O 69.0 U/ml;免疫球蛋白+补体:免疫球蛋白G 26.90 g/L;免疫球蛋白IgG4检测1.04 g/L;狼疮抗凝物检测:狼疮抗凝物SCT确证61.00 s,狼疮抗凝物标准化SCT比值0.71,狼疮抗凝物RVVT确证32.40 s;血管炎抗体谱、抗环瓜氨酸肽抗体、抗磷脂抗体谱、血清及尿免疫固定电泳均未见异常;男性肿瘤标志物均阴性。
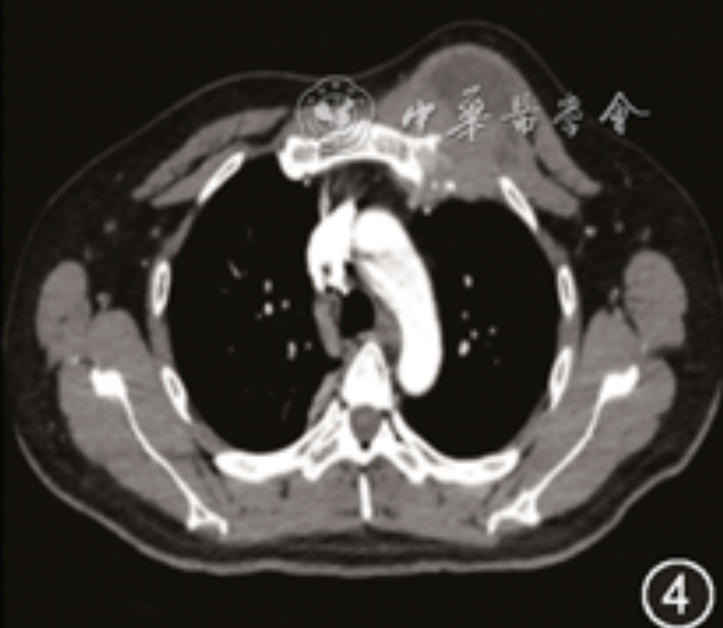
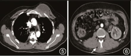
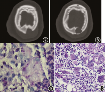
胸部CT(图4, 5, 6):纵隔及右肺门、双侧胸前壁及后腹壁多发囊实性占位性病变,右侧肩胛骨及双侧局部肋骨骨质破坏;头颅CT(图7,8):左顶骨骨质破坏,周围见囊实性软组织肿块,增强扫描后实性成分呈中度强化,囊性成分未见强化。后行超声引导下头部及背部肿物穿刺术,组织病理示(图9):化脓性肉芽肿炎,可见较多多核巨细胞,内可见囊泡状孢子样物,特殊染色结果 PAS(+),六胺银(+);同时将外院右肺下叶切除肺组织送我院病理科会诊,结果示(图10):化脓性肉芽肿性炎,可见大量多核巨细胞,内可见囊泡状孢子样物,特殊染色结果 PAS(+),六胺银(+),考虑为真菌感染,但穿刺组织培养结果阴性,遂行穿刺组织宏基因组二代测序(metagenomics next generation sequencing,mNGS),结果显示:芽生菌属真菌(Blastomyces_percursus,序列数192 870)。
图4 2024年6月8日入院后胸部CT示左胸壁肿物;图5 2024年6月8日入院后胸部CT示肋骨破坏;图6 2024年6月8日入院后胸部CT示后背皮下肿物
图7 2024年6月8日入院后头颅CT示头颅肿物;图8 2024年6月8日入院后头颅CT示颅骨破坏
图9 头、背部肿物穿刺组织病理可见组织呈化脓性肉芽肿炎,较多多核巨细胞,内可见囊泡状孢子样物PAS高倍放大 ;图10 外院右肺下叶切除肺组织病理,送检组织呈化脓性肉芽肿炎,可见较多多核巨细胞,内可见囊泡状孢子样物 HE 低倍放大
根据病理和mNGS结果,考虑为芽生菌感染。首先给予两性霉素B胆固醇硫酸脂复合物(50 mg,1次)治疗,但首次输注后即出现全身弥漫性红色皮疹伴瘙痒,考虑过敏停用。后改为静脉输注伏立康唑(200 mg,1次/12 h,首日剂量加倍)。抗感染治疗2周后,患者左前胸壁、背部、颅顶肿物明显缩小(图11,12),后改为伏立康唑口服。出院3个月后电话随访患者,诉无胸闷、气短不适,当地医院复查胸部及头颅CT示胸壁背部及颅顶肿物消退,骨质破坏好转。
图11 抗真菌治疗后出院时左胸壁肿物明显缩小;图12 抗真菌治疗后出院时颅顶肿物明显缩小
最后诊断:(1)播散性芽生菌病;(2)右肺下叶切除术后;(3)慢性乙型病毒性肝炎;(4)右肾结石体外碎石术后;(5)双侧输尿管支架置入术后。
讨论
芽生菌(Blastomyces)是一种双相型真菌,属于半知菌亚门、丝孢菌纲、丝孢菌目、梗孢科。它主要存在于潮湿土壤和腐烂有机物中。在25 ℃条件下,芽生菌的菌落形态可为蓬松的白色菌丝体(生长迅速时),或光滑、褐色、不产孢的菌落(生长缓慢时)。当温度升高至37 ℃时,培养在血琼脂上的菌落为皱折状,呈现光滑的酵母样外观;在组织病理学检查中,显微镜下可见呈典型的酵母样细胞,其直径一般在8~30 μm。芽生菌的菌丝为分隔型,通过无性繁殖形成小分生孢子。芽生菌酵母细胞为多核,细胞壁具有双折射性,分裂时通过出芽方式进行繁殖,母子细胞通过宽基芽连接[1],这一特征是其与其他双相真菌鉴别的关键特征。芽生菌属包括多个种类,主要包括皮炎芽生菌(Blastomyces dermatitidis)、吉氏芽生菌(Blastomyces gilchristi)、微小芽生菌(Blastomyces parvus)以及其他菌种(Blastomyces silverae、Blastomyces percursus、Blastomyces helicus)等[2]。
芽生菌病(Blastomycosis)是一种罕见但在北美地区流行的严重真菌感染,主要由皮炎芽生菌引起。这是一种慢性化脓性肉芽肿性疾病,1894年美国皮肤科医师吉尔克里斯特首次报道了人类芽生菌病的病例[3]。芽生菌病的流行具有地方性特征,最初主要分布于北美洲,尤其是俄亥俄河、密西西比河谷及五大湖区域的美国各州和加拿大省份。自1952年以来,其他地区如非洲、印度、中东、南美及欧洲也有散发病例报告[1,4]。近年来,中国也出现了个别输入性芽生菌病病例,但本土病例少见[2, 5, 6, 7]。本例患者穿刺组织mNGS示Blastomyces percursus,该菌种更为罕见,是近年来从南非和以色列的3例病例临床标本中分离鉴定出的新菌种,与传统的皮炎芽生菌和吉氏芽生菌在基因上存在显著差异[8]。
芽生菌病可发生于免疫功能正常及免疫功能受损的个体[1,9]。发病不受年龄、种族或性别限制,几乎可累及人体的所有器官,根据感染部位的不同可分为肺型和肺外播散型两大类。肺型芽生菌病的临床表现可以从无症状、急性和(或)慢性肺炎发展至急性呼吸窘迫综合征,甚至导致死亡[10]。播散性芽生菌常见于皮肤、骨骼、泌尿生殖系统及中枢神经系统[11]。典型的胸部影像学表现为实变,慢性病变可呈结节、肿块或空洞;不典型表现包括网格影、肺不张、弥漫性磨玻璃及纵隔淋巴结肿大等[12]。本例患者胸部影像学表现为右肺下叶团块实变影,同时伴多发皮肤肿物及骨骼破坏,首先需与肿瘤性病变相鉴别。依据患者肿瘤标志物正常,增强CT扫描无显著强化,且病理证实为化脓性肉芽肿性炎,可除外肿瘤性病变。在肉芽肿性肺疾病的疾病谱中,最常见的非感染性疾病为结节病,最常见的感染性疾病为分枝杆菌感染、真菌感染[13]。结节病患者可出现皮肤、眼睛、关节等多系统的受累,典型肺部影像学表现为双侧肺门淋巴结肿大伴肺内网状、结节影,病理为非干酪样坏死性肉芽肿,与该患者不符,予以排除。该患者肺部病变位于右肺下叶,需考虑结核感染可能,但PPD试验、TB-SPOT、痰抗酸染色均阴性,四联抗结核药物治疗无效,且结核性肉芽肿通常为干酪样坏死性肉芽肿,而本例病理以化脓性坏死为主。真菌方面需与组织胞浆菌病和隐球菌病相鉴别。部分组织胞浆菌病的肺部影像学表现与芽生菌类似,但病理以非化脓性上皮样肉芽肿为主,且酵母体积更小(2~4 μm),无荚膜,窄基出芽;隐球菌病患者亦可同时出现肺、皮肤、骨骼及脑膜等多系统受累,但多有鸽子接触史,免疫功能正常者可见肉芽肿性炎,典型表现为非坏死性肉芽肿,球形酵母周围有显著的无色透明荚膜,可呈单芽或多芽出芽,偶见窄基出芽。
芽生菌病的诊断金标准为从无菌体液或组织标本中分离并培养出病原菌并进行鉴定,但这一过程通常需要2~4周,且培养结果的延迟可能影响及时治疗[14]。随着二代测序的发展,给少见真菌感染诊断带来了精准和便捷。在本病例中,我们尽管对肿物穿刺组织进行了培养,但由于芽生菌的特殊生长特性(如生长缓慢、对培养基要求高等),未能成功获得培养阳性结果,但通过肿物穿刺组织送检病理和mNGS,最终确诊为罕见菌种所致的芽生菌病。
治疗上,应根据疾病严重程度和宿主免疫状态选择个体化方案。对于轻中度病例,伊曲康唑(200 mg,2次/d)是首选,疗程6~12个月[15]。研究表明其治愈率可达90%以上[16]。对于重度或播散性病例,应选用两性霉素B(脂质体剂型0.7~1.0 mg·kg-1·d-1)诱导治疗1~2周,后转为伊曲康唑治疗[17]。研究显示,这种序贯疗法可使67%的单纯肺部感染和33%的播散性感染患者完全康复[18]。伏立康唑和泊沙康唑对部分难治性病例有效[16,19]。糖皮质激素在合并急性呼吸窘迫综合征(ARDS)的重症患者中可考虑使用,但证据有限[16, 17]。本病例患者为严重播散性芽生菌病,且伴有颅骨破坏,初始选择两性霉素B治疗,但因出现过敏反应,随后改为伏立康唑,用药后预后良好。
芽生菌病是一种罕见的真菌感染,尽管我国并非流行地区,但临床上遇到类似病例,如同时出现肺部实变、皮肤肿物以及骨质破坏等多系统受累时,临床医生仍应提高警惕,考虑到该疾病的可能,及时完善组织标本培养、病理与分子病原学检查,以便早期诊治改善预后,减少并发症。另外,本例患者虽无北美疫区旅居史,但长期接触牛羊饲料及腐烂有机物、潮湿土壤,存在芽生菌属真菌环境暴露可能,这也提示非流行区亦可能存在潜在感染源,因此,从事农业、畜牧业、户外活动等的特殊职业人群,需加强呼吸道防护措施,避免感染风险。
参考文献(略)
作者:李岚 史金英 柴书坤 焦书娟 倪文涛;第一作者单位:石家庄市人民医院呼吸与危重症学科;通信作者:倪文涛,北京大学人民医院呼吸与危重症医学科
引用本文:李岚, 史金英, 柴书坤, 等. 播散性芽生菌病1例[J]. 中华结核和呼吸杂志, 2025, 48(7): 669-672. DOI: 10.3760/cma.j.cn112147-20250122-00047.
本文转载自订阅号「中华结核和呼吸杂志」
原链接戳:【病例报告】播散性芽生菌病1例
* 文章仅供医疗卫生相关从业者阅读参考
本文完
责编:Jerry
