诺卡菌是一种革兰染色阳性的需氧分枝状细菌,广泛存在于水、土壤、腐烂的动植物等自然界中。近年来,随着免疫抑制人群的增加以及抗菌药物的广泛使用,机会性致病菌引起的肺部感染逐渐受到关注。诺卡菌作为一种机会性致病菌,其在临床感染中的重要性日益凸显。本文通过一例支气管扩张症患者合并肺部华莱士诺卡菌感染的病例,探讨诺卡菌的感染特点、诊断策略及治疗进展。
一、病例介绍
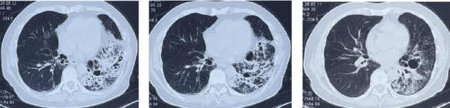
患者,男性,67岁,因“反复咳嗽咳痰40余年”就诊。患者既往于外院明确诊断为“支气管扩张症”,长期间断接受抗感染及止咳祛痰治疗,症状反复。近1月咳嗽、咳痰症状加重,痰液呈黄色,黏、不易咳出,无发热、胸痛、咯血、呼吸困难等其他不适。期间曾自行服用头孢地尼、西他沙星等药物,症状无明显缓解,遂至我院门诊就诊。听诊双肺可闻及湿啰音,左下肺明显;胸部高分辨CT检查(图1)提示:左肺广泛囊状及柱状支气管扩张,以下叶为著。左肺多发斑片状实变影及结节影(部分伴小空洞形成)。
患者清洁口腔后留取痰标本送检。微生物实验室操作人员挑取痰块进行涂片与革兰染色,镜下可见大量革兰阳性、分枝状细菌,在油镜下,呈现染色深浅不一的串珠样改变,形态高度疑似诺卡菌(图2-A)。弱抗酸染色结果呈阳性(图2-B),结合患者支气管扩张病史,初步提示诺卡菌感染可能,实验室及时向临床反馈。将痰标本接种至培养基,经过5天的孵育后长出干燥、颗粒状的菌落(图3-A、B)。
用无菌牙签挑取单个菌落均匀涂抹在基质辅助激光解吸电离飞行时间质谱(Matrix-Assisted Laser Desorption/Ionization Time-of-Flight Mass Spectrometry,MALDI-TOF MS)专用靶板,滴加基质液,待干燥后进行检测,最终以99.9%置信度鉴定为华莱士诺卡菌,并及时向临床报告鉴定结果。
临床经综合评估后,经验性予患者应用复方新诺明规范治疗,经过6周的系统治疗后,患者咳嗽、咳痰症状得到显著缓解,咳嗽频率较治疗前明显降低,咳痰量显著减少,且痰液黏稠度明显下降,治疗效果显著。患者临床症状已得到有效控制且主观不适感明显减轻。基于上述病情改善情况,患者暂未进一步行胸部影像学检查评估病情。
图1 患者胸部CT
A革兰染色(×1000)
B弱抗酸染色(×1000)
图2 患者痰涂片染色显微镜检查
A 患者痰标本血琼脂培养5天
B 诺卡菌分纯后血琼脂培养5天
图3患者痰培养的菌落形态
二、分析与讨论
诺卡菌属(Nocardia)是一类需氧、部分耐酸的革兰阳性或不定的分枝状细菌,广泛分布于自然环境中,是一种机会性致病菌,其感染主要发生于免疫功能低下人群,如长期接受免疫抑制剂治疗者、艾滋病患者等。然而,近年来研究发现,免疫功能正常人群中诺卡菌感染的发生率呈逐渐增高趋势,此类患者多合并肺部结构异常病症(如结核、支气管扩张、尘肺等)或慢性消耗性疾病(如糖尿病、营养不良等)[1]。
诺卡菌主要通过呼吸道吸入或者皮肤伤口侵入机体,引起化脓性感染。严重感染病例可经血流播散至多个脏器,其中中枢神经系统是最常见的播散部位[2-3]。因此,临床上建议所有诺卡菌肺炎或播散性感染患者接受头颅影像学检查,以早期排除颅内感染[4]。
肺诺卡菌病是诺卡菌病最常见的表现,主要是由吸入含菌灰尘或土壤颗粒所致。患者临床症状(咳嗽、发热等)常不典型,影像学检查(双肺多发性高密度片状阴影以及结节或空洞)无明显特异性,基于此,诺卡菌感染的诊断仍以病原学检测为主要依据[5]。但由于诺卡菌生长缓慢,初代分离培养通常需要孵育约一周,因此革兰染色成为早期观察和识别诺卡菌最敏感的方法[6]。当原始标本涂片染色镜检发现典型90°角分枝菌丝时,可怀疑诺卡菌感染,此时需通过适当延长培养时间和增加培养次数以提高阳性检出率。MALDI-TOF MS和16S rRNA测序是最常用的鉴定技术。对于常规培养阴性且初始治疗效果不佳的病例,应用测序技术可显著提高诊断性能[7]。本文所述案例中,患者既往支气管扩张病史,属于诺卡菌感染的高危人群,并长期反复咳嗽、咳痰;患者痰涂片镜下可见大量革兰阳性分支状杆菌,染色强度不均,呈串珠样改变,初步提示诺卡菌感染可能;弱抗酸染色阳性结果更是进一步支持该初步鉴定。通过延长培养时间至5天,成功培养出皱褶、干燥的白色菌落,经MALDI-TOF MS鉴定为华莱士诺卡菌(Nocardia wallacei)。
目前已经发现的诺卡菌菌种超过100种,其致病谱存在地域差异[8]。在全球范围内,乔治教堂诺卡菌(Nocardia cyriacigeorgica)和皮疽诺卡菌(Nocardia farcinica)是主要致病菌种;而在中国,星形诺卡菌(Nocardia asteroides)和巴西诺卡菌(Nocardia brasiliensis)更为常见[9-10]。尽管诺卡菌感染的总体流行率正在逐年上升,但华莱士诺卡菌所致感染的报道仍较为罕见,国内仅见少数肺部感染和皮肤感染的病例报道[11-14]。
华莱士诺卡菌是德兰士瓦诺卡菌复合群中分离到的一个菌种,最初被认为是星形诺卡菌的药物模式Ⅳ型,直至2008年由Convile等正式命名为华莱士诺卡菌[15]。免疫功能低下及免疫功能正常宿主均可感染这种病原体,部分病例可进展为播散性感染,甚至危及生命[7]。
在治疗方面,磺胺类药物临床应用已近50年,因对脑脊液、皮肤、软组织及骨组织等具有良好渗透性而成为诺卡菌感染治疗的首选,最常见的是磺胺甲噁唑/甲氧苄啶(Trimethoprism/Sulfamethoxazole,TMP-SMZ)。尽管随着抗菌药物的广泛应用,诺卡菌对TMP-SMZ的耐药率逐渐升高,但其仍是目前诺卡菌感染一线和首选的经验性治疗药物[12]。据《热病》推荐,肺诺卡菌病的首选治疗方案为SMZ-TMP联合亚胺培南,备选方案为亚胺培南联合阿米卡星[16];此外,临床实践中可供选择的其他药物包括利奈唑胺、阿莫西林/克拉维酸钾、环丙沙星、克拉霉素、米诺环素、头孢曲松等[17]。本文所述案例中,患者在接受复方新诺明规范治疗后,其咳嗽、咳痰症状得到明显缓解,疗效显著。需要注意的是,诺卡菌属中不同菌种的抗菌药物敏感性存在差异,如前所述,由于华莱士诺卡菌具有星形诺卡菌的药物模式Ⅳ型的特性,表现出独特的阿米卡星耐药特征,因此临床治疗前建议通过菌种鉴定和药敏试验来选择敏感药物。
综上所述,肺部诺卡菌病呈亚急性起病,易发生播散,且病原菌培养阳性率低、耗时长,临床易出现误诊和漏诊。通过联合应用痰涂片、延长培养时间、MALDI-TOF MS或测序技术,发挥不同方法的优势互补作用,可显著提高病原菌诊断的精准度,为患者的临床治愈提供重要支撑。
参考文献
[1]STEINBRINK J, LEAVENS J, KAUFFMAN C A, et al. Manifestations and outcomes of nocardia infections: Comparison of immunocompromised and nonimmunocompromised adult patients[J]. Medicine (Baltimore), 2018,97(40):e12436.
[2] TRAXLER R M, BELL M E, LASKER B, et al. Updated Review on Nocardia Species: 2006-2021[J]. Clin Microbiol Rev, 2022,35(4):e0002721.
[3] CORSINI CAMPIOLI C, CASTILLO ALMEIDA N E, O'HORO J C, et al. Clinical Presentation, Management, and Outcomes of Patients With Brain Abscess due to Nocardia Species[J]. Open Forum Infect Dis, 2021,8(4):ofab067.
[4] DENNIS L K, ANTHONY S F.哈里森感染病学[M].胡必杰,潘珏,高晓东,译.上海:上海科学技术出版社,2019:534.
[5] YU S, WANG J, FANG Q, et al. Specific clinical manifestations of Nocardia: A case report and literature review[J]. Exp Ther Med, 2016,12(4):2021-2026.
[6] COOPER C J, SAID S, POPP M, et al. A complicated case of an immunocompetent patient with disseminated nocardiosis[J]. Infect Dis Rep, 2014,6(1):5327.
[7] CHIEOSILAPATHAM P, DUANGSONK K, KAWEEWAN I, et al. Nocardia wallacei: A rare cause of actinomycetoma in an immunocompetent patient[J]. Eur J Microbiol Immunol (Bp), 2024,14(4):373-379.
[8] YETMAR Z A, KHODADADI R B, CHESDACHAI S, et al. Mortality After Nocardiosis: Risk Factors and Evaluation of Disseminated Infection[J]. Open Forum Infect Dis, 2023,10(8):ofad409.
[9] 赵楠楠, 刘鹏飞, 磨国鑫. 免疫功能正常的全身播散性诺卡菌病1例[J]. 中华结核和呼吸杂志,2024,47(8):767-771.
[10] YANG J, REN H T, WANG J, et al. Clinical characteristics, susceptibility profiles, and treatment of nocardiosis: a multicenter retrospective study in 2015-2021[J]. Int J Infect Dis, 2023,130:136-143.
[11] QIN L, WANG S, ZHENG Z, et al. A complicated infection by cutaneous Nocardia wallacei and pulmonary Mycobacterium abscessus in a Chinese immunocompetent patient: a case report[J]. Front Cell Infect Microbiol, 2023,13:1229298.
[12] PAN W, ZHUO B, WANG S, et al. First report of Nocardia wallacei infection in an immunocompetent patient in Zhejiang province[J]. Open Life Sci, 2024,19(1):20220891.
[13] 孙鹏飞, 陆燕飞, 黄旭,等. 华莱士诺卡菌引起的肺部感染1例[J]. 临床检验杂志,2017,35(05):396-397.
[14] 黄冷, 秦岭. 播散性华莱士诺卡菌感染1例[J]. 中国临床案例成果数据库,2024,06(01):E0830-E0830.
[15] CONVILLE P S, BROWN J M, STEIGERWALT A G, et al. Nocardia wallacei sp. nov. and Nocardia blacklockiae sp. nov., human pathogens and members of the "Nocardia transvalensis Complex"[J]. J Clin Microbiol, 2008,46(4):1178-1184.
[16] DAVID N G, HENRY F C, MICHAEL S S, et al.热病:桑福德抗微生物治疗指南[M].范洪伟,译.北京:中国协和医科大学出版社,2024:46.
[17]安袁笑雪. 肺诺卡菌感染临床特征、药物选择及预后不良因素分析[D]. 济南:山东大学,2023.
作者简介
高婉婷
硕士研究生,检验师,医师,就职于北京小汤山医院检验医学科,从事病原微生物、分子生物学检验及诊断。
焦霞
副主任医师,就职于北京小汤山医院。曾在北京朝阳医院西区呼吸与危重症医学科工作十余年,悉尼大学病理系访问学者研修1年。擅长呼吸与危重症医学专业疑难及危重症的诊治,具有丰富的慢病健康管理经验。
作者:高婉婷、焦霞、王利君(北京小汤山医院检验医学科);审校:鲁炳怀(中日友好医院)
本文转载自订阅号「京港感染论坛」
* 文章仅供医疗卫生相关从业者阅读参考
本文完
责编:Jerry
